The 4th China Medical Team (CMT) in Solomon Islands recently achieved a historic breakthrough in the diagnosis and treatment of cardiovascular diseases.
At the China-aided Comprehensive Medical Center (CMC), Dr. Wei Bo and nurse Xiong Guobao, together with Dr. Brendon Talota, Internal Medicine Registrar Cardiac Interventionalist Trainee at the National Referral Hospital (NRH), successfully performed a percutaneous coronary intervention (PCI) — a coronary stent implantation — for a patient suffering from severe coronary heart disease.
This marks the first-ever coronary stent implantation surgery in Solomon Islands, as well as the fourth PCI procedure completed under the guidance of the CMT, signifying a leap from “limited capability” to “independent practice” in local coronary heart disease treatment. It brings new hope to many Solomon Islanders suffering from heart disease.
Coronary heart disease is a major threat to human life and health, and its treatment — especially interventional procedures like PCI — requires advanced medical skills, high-quality equipment, and close team coordination. Previously, due to the lack of necessary technology and facilities in Solomon Islands, local patients in need of such surgeries had to travel abroad, facing exorbitant costs and long journeys. These obstacles often led to delayed treatment and missed windows for optimal care. Upon arriving in Solomon Islands, the CMT quickly recognized the urgent demand for high-quality cardiovascular care and made the promotion of coronary intervention techniques a top priority.

The patient in this case had suffered chest pain for over a year. He reported being unable to perform physical labor, mostly staying home, avoiding long walks due to fear of sudden incidents. Despite multiple hospitalizations and medication treatment, his condition had not improved. After hearing that the CMT had successfully completed the first PCI procedure in June this year, he turned to them for help. The CMT conducted a thorough medical history review, physical examination, and imaging evaluation before developing a detailed surgical plan and a comprehensive emergency response protocol to ensure surgical safety.
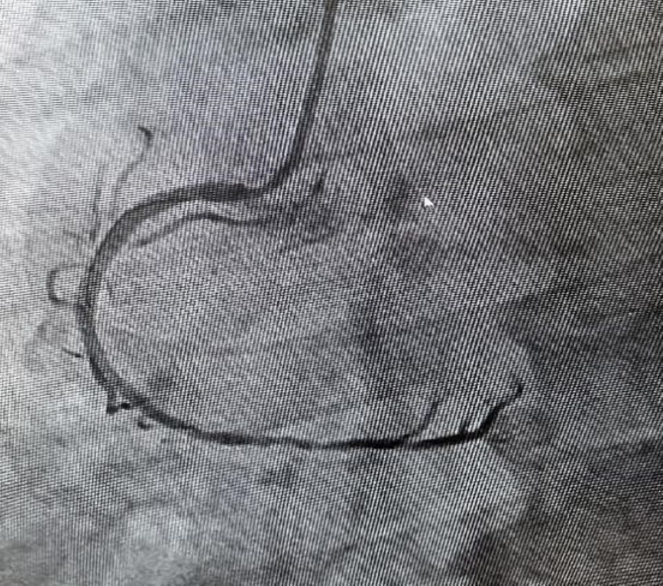
During the procedure, coronary angiography revealed severe lesions in all three coronary arteries. After discussion with local doctors, the CMT decided to treat the right coronary artery. From the selection of medical supplies and coronary puncture to the stent implantation, the CMT carefully explained key points and safety considerations. They guided the local doctors in successfully placing two stents in the right coronary artery, effectively relieving the blockage. The surgery was a complete success.

After the procedure, Dr. Wei Bo led a case review with local healthcare staff, using surgical video footage to analyze procedural details and refine techniques. The CMT also provided comprehensive guidance on post-operative care, including anticoagulant therapy, condition monitoring, and complication prevention, to further enhance the capabilities of the local team. Nurse Xiong Guobao regularly checked on the patient and coached local nurses on medication management, vital sign monitoring, and limb observation after surgery. The patient recovered well, with no more chest tightness or pain, and regained heart function — eventually being discharged in good condition.
The patient expressed deep gratitude to the CMT: “This kind of advanced heart surgery used to be something unimaginable. Now, thanks to the China Medical Team, I received it right at my doorstep. I trust the Chinese doctors completely — they gave me a new life.”
“The official operation of the China-aided CMC in Solomon Islands not only fills the gap in high-end medical infrastructure but also brings about a profound, transformative upgrade in local healthcare — from hardware improvements and skill development to accessible, high-quality services,” said Zhao Xueke, leader of the 4th CMT. “We will continue our efforts to turn medical cooperation into a lasting force for protecting the health of the Solomon Islands people.”

In commending the excellent health outcome of the patient, the Permanent Secretary of Health, acknowledged the incredible lifesaving procedures conducted by the Chinese Medical Team together with our local doctors as part of their local capacity enhancement. Health Secretary said “this achievement truly reflects the commitment of our medical team and professionals, the resilience of our patient who underwent the procedure and the support of the family and relatives. We cannot achieve this historical milestone if not for all parties involved in this process, so I wish to convey my sincerest acknowledgement to everyone”
Meanwhile, previously, such a procedure could only be done abroad and would cost almost $400,000 for the procedures together with all other associated costs (logistics, medical consultation, laboratory tests, treatment, hospital stay etc). But now our people can access this specialized service treatment within our country.





































